Holistic and Conservative Treatment
Retaining natural teeth as long as possible has distinct advantages. Unlike other tissues in our bodies, dental enamel will not repair or regenerate. Once the enamel is removed via restorative treatment such as crowns its gone forever.
Minimally Invasive treatment is aimed at a more holistic approach which emphasizes preservation of the natural tooth structure.

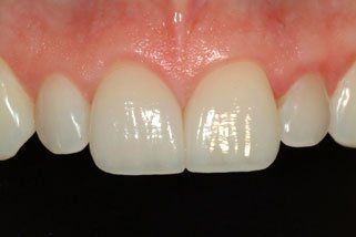
Before

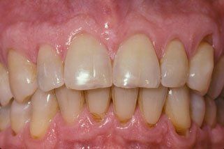
After
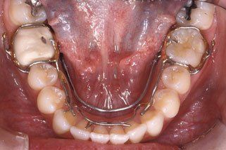
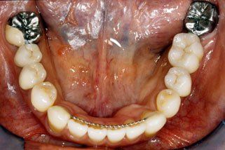
Invisible Gold
Description about the service
Learn More
Cosmetic Dentistry
Description about the service
Learn More
Porcelain Veneers
Description about the service
Learn More
Limited Orthodontics
Description about the service
Learn More
Arch Development
Description about the service
Learn More
Diastema Closure
Description about the service
Learn More






